Información exclusiva para profesionales de la salud
← Volver al número Ver PDF

Embolización arterial transcatéter en hematoma hepático por síndrome HELLP y eclampsia

Transcatheter arterial embolization for hepatic hematoma caused by HELLP syndrome and eclampsia.



RESUMEN

ANTECEDENTES: El hematoma hepático subcapsular es una complicación infrecuente pero potencialmente mortal del síndrome HELLP y la eclampsia. La embolización arterial transcatéter emergió como una intervención crítica que incrementa, significativamente, la supervivencia en comparación con el tratamiento quirúrgico radical.

CASO CLÍNICO: Paciente de 27 años, multigesta, con antecedentes de cesárea complicada por hemorragia y consumo activo de metanfetaminas. Tras el puerperio inmediato tuvo preeclampsia, dolor abdominal en el hipocondrio derecho, agitación, estupor, hipotensión y hemoperitoneo (700 mL). Ingresó a cuidados intensivos ventilada; TA 183-57 mmHg, FC 106 lpm, saturación de oxígeno 95%. Hallazgos: palidez, abdomen con herida quirúrgica reciente, laboratorio compatible con síndrome HELLP clase I, insuficiencia orgánica múltiple, hematoma hepático subcapsular (50%) y edema cerebral. Se indicó la laparotomía con empaquetamiento hepático y drenajes, posteriormente embolización arterial selectiva. Evolucionó favorablemente, fue extubada y dada de alta al día siguiente; al sexto día consciente, orientada y con mejoría de la función hepática y renal.

CONCLUSIÓN: El hematoma hepático subcapsular asociado con eclampsia y síndrome HELLP es una urgencia obstétrica compleja. Su diagnóstico requiere sospecha clínica ante hipertensión, dolor abdominal y deterioro hemodinámico. El tratamiento actual prioriza el enfoque multimodal que combina el empaquetamiento hepático y la radiología intervencionista para mejorar la supervivencia. En la paciente del caso, la embolización arterial selectiva evitó la ruptura y aceleró la recuperación. Los factores de riesgo, como el consumo de metanfetaminas, deben considerarse, y la colaboración entre equipos médicos es decisiva para un buen pronóstico.

PALABRAS CLAVE: Síndrome de HELLP, eclampsia, rotura hepática, embolización terapéutica, metanfetamina

ABSTRACT

BACKGROUND: Subcapsular hepatic hematoma is a rare but serious complication of HELLP syndrome and eclampsia that can be life-threatening. Transcatheter arterial embolization has emerged as a critical intervention that significantly improves survival compared with radical surgical treatment.

CLINICAL CASE: The patient is a 27-year-old with a history of multiple pregnancies, C-sections, and hemorrhaging. The patient also has a history of methamphetamine use. In the immediate postpartum period, she developed preeclampsia, right upper quadrant abdominal pain, agitation, stupor, hypotension, and hemoperitoneum (700 mL). She was admitted to the intensive care unit on mechanical ventilation, with blood pressure measurements of 183-57 mmHg, heart rate of 106 beats per minute, and oxygen saturation of 95%. The following findings were documented: pallor, a recent surgical wound on the abdomen, laboratory findings consistent with Class I HELLP syndrome, multiple organ failure, and a subcapsular hepatic hematoma (50%), as well as cerebral edema. The patient underwent a laparotomy with liver packing and drains, followed by selective arterial embolization. She showed significant improvement, was extubated, and was discharged the following day. By the sixth day, she was conscious and oriented, and her liver and kidney function had improved.

CONCLUSION: Subcapsular hepatic hematoma associated with eclampsia and HELLP syndrome is a complex obstetric emergency. To diagnose this condition, healthcare professionals must have a high level of suspicion in cases of hypertension, abdominal pain, and hemodynamic deterioration. Current treatment prioritizes a multimodal approach combining liver packing and interventional radiology to improve survival. In this particular case, selective arterial embolization effectively prevented rupture and significantly accelerated recovery. Risk factors, such as methamphetamine use, must be considered, and collaboration among medical teams is crucial for a favorable prognosis.

KEYWORDS: HELLP Syndrome, Eclampsia, Liver Rupture, Therapeutic Embolization, Methamphetamine


ANTECEDENTES

Los trastornos hipertensivos del embarazo son una de las principales causas de morbilidad y mortalidad materna en el mundo.1 La evolución conceptual de estas afecciones ha pasado de considerarse enfermedades estrictamente del sistema nervioso central (eclampsia) a reconocerlas como síndromes multisistémicos complejos, originados por una disfunción placentaria y endotelial.2 El síndrome HELLP es parte de este espectro y representa una de las variantes más graves, con el potencial de desencadenar complicaciones orgánicas catastróficas.1,3

Una de las complicaciones de más baja frecuencia y letal es el hematoma hepático subcapsular. Si bien su incidencia es baja, su ruptura espontánea es una urgencia crítica que requiere intervención quirúrgica, asociada con elevadas tasas de mortalidad materna y perinatal.4,5 El mecanismo fisiopatológico implica una cascada de eventos que incluyen: hipoperfusión sinusoidal, depósito de fibrina y necrosis periportal, lo que deriva en una hemorragia bajo la cápsula de Glisson.4,6

Por tradición, el tratamiento de esta complicación se centró en intervenciones quirúrgicas invasivas. Hoy, la evidencia más reciente sugiere que un enfoque multidisciplinario que combine el empaquetamiento hepático con técnicas de radiología intervencionista, como la embolización de la arteria hepática, puede mejorar de manera muy importante el pronóstico de las pacientes.4,5 En este contexto, la identificación de factores de riesgo adicionales que pongan en riesgo la estabilidad vascular, como el consumo de sustancias simpaticomiméticas, resulta fundamental para la atención médica moderna.6

Enseguida se expone el caso clínico de una paciente en el puerperio, con eclampsia y síndrome HELLP complicado con la ruptura de un hematoma hepático subcapsular y edema cerebral [síndrome de encefalopatía posterior reversible (PRES)], en el que se hace hincapié en la conveniencia del tratamiento combinado de empaquetamiento quirúrgico con embolización selectiva.

CASO CLÍNICO

Paciente de 27 años, multigesta (tres embarazos, una cesárea y dos abortos), con antecedente de complicación hemorrágica en la cesárea previa. Ignoró si tenía enfermedades crónico-degenerativas preexistentes, solo reconoció la toxicomanía activa a metanfetaminas (“cristal”). Fue enviada a una unidad de segundo nivel luego de cursar un puerperio quirúrgico inmediato, complicado con eclampsia. El cuadro inició con cefalea intensa, cifras tensionales superiores a 180-110 mmHg y una crisis convulsiva tónico-clónica generalizada. Posterior al evento convulsivo, la paciente tuvo dolor abdominal súbito, de intensidad 10 de 10 en el hipocondrio derecho, seguido de un estado de agitación psicomotriz y posterior estupor. Durante el traslado se documentó hipotensión y un hemoperitoneo clínico con pérdida sanguínea estimada de 700 mL. A su ingreso a la unidad de cuidados intensivos se inició el soporte ventilatorio mecánico invasivo con sedoanalgesia.

Signos vitales: tensión arterial de 183-57 mmHg, frecuencia cardiaca de 106 lpm y saturación de oxígeno del 95%. A la exploración física destacó la palidez generalizada de tegumentos y llenado capilar de 3 segundos. El abdomen se advirtió con una herida quirúrgica media, infraumbilical reciente, sin sangrado activo. Al tacto vaginal se encontraron loquios hemáticos escasos. Los estudios de laboratorio confirmaron el síndrome HELLP clase I (clasificación de Mississippi) y la insuficiencia orgánica múltiple. Hemoglobina de 8.2 g/dL y trombocitopenia aguda (40,700/mL); elevación crítica de transaminasas (AST 4744 U/L, ALT 3326 U/L) y deshidrogenasa láctica (DHL 3762 U/L); creatinina sérica de 1.72 mg/dL.

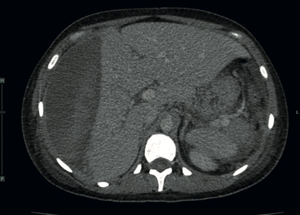
El ultrasonido y la tomografía axial computada confirmaron el hematoma subcapsular hepático que afectaba el 50% de la superficie glandular (Figura 1). La resonancia magnética sugirió un edema cerebral compatible con síndrome de encefalopatía posterior reversible (PRES). Ante el diagnóstico de hematoma hepático subcapsular y el alto riesgo de avance, se procedió a la laparotomía exploradora. Se encontró un hemoperitoneo de 200 mL y un hematoma subcapsular del 50%. Se decidió el empaquetamiento hepático y la colocación de drenajes. De manera complementaria, el radiólogo intervencionista llevó a cabo una embolización selectiva de la arteria hepática común mediante la aplicación de 5 mL de espuma hemostática, vía cateterismo del tronco celiaco (Figura 2). Luego del procedimiento, la paciente evolucionó hacia la estabilidad hemodinámica, con logro de una extubación satisfactoria y alta al servicio de ginecología al día siguiente de la embolización. Al sexto día de estancia hospitalaria la paciente se reportó consciente, orientada y con mejoría sustancial del perfil hepático (AST 420 U/L, ALT 1139 U/L) y recuperación de la función renal.

<strong>Figura 1</strong>
Figura 1. Tomografía computada de abdomen en fase simple. Se observa una colección hipodensa, de morfología biconvexa, localizada bajo la cápsula de Glisson en el lóbulo hepático derecho, compatible con un hematoma subcapsular contenido. La lesión comprime el parénquima hepático adyacente sin evidencia de extravasación franca del medio de contraste hacia la cavidad abdominal en este corte, lo que confirma la integridad capsular al momento del estudio.
<strong>Figura 2</strong>
Figura 2. Angiografía por sustracción digital. Se observa el cateterismo selectivo de la arteria hepática común a través de un acceso femoral. Se identifica la anatomía arterial del hígado con una adecuada perfusión parenquimatosa inicial.

DISCUSIÓN

La ruptura hepática espontánea, en el contexto de preeclampsia y síndrome HELLP, es una de las complicaciones más críticas de la práctica obstétrica. Dabi y colaboradores mencionan que la ausencia de signos específicos a menudo genera un dilema diagnóstico que retrasa el tratamiento; el dolor en el cuadrante superior derecho es el síntoma guía más común.7

En este caso, la evolución hacia el hemoperitoneo obligó a una intervención quirúrgica inmediata. Tegene y su grupo defienden el empaquetamiento hepático porque es una medida de salvamento eficaz cuando el diagnóstico es transoperatorio y porque permite el control mecánico del sangrado en una paciente hemodinámicamente inestable.8 El empaquetamiento, por sí solo, puede tener limitaciones, por el riesgo de resangrado al retirar las compresas o la persistencia de la hemorragia de los vasos menores difíciles de ligar durante el procedimiento quirúrgico.

En este reporte, la innovación radica en la atención multimodal en la que destaca que la embolización arterial transcatéter ofrece una ventaja pronóstica significativa. A diferencia del empaquetamiento aislado, la embolización arterial transcatéter permite una oclusión selectiva y definitiva de los focos de sangrado con una menor tasa de complicaciones vasculares.

De acuerdo con Zhou y Liu y sus correspondientes colaboradores, la embolización arterial transcatéter ha demostrado una mayor supervivencia en pacientes con hematomas hepáticos, incluso luego del fracaso de la cirugía, debido a su naturaleza mínimamente invasiva que no exacerba la coagulopatía de consumo propia del síndrome de HELLP.3,9 Luhning y Marinelli y sus respectivos grupos hacen hincapié en que la ruptura exige una coordinación inmediata entre el obstetra, el cirujano y el radiólogo intervencionista, donde la embolización arterial transcatéter se consolida como la técnica con mejores resultados reportados en los metanálisis recientes para garantizar la supervivencia de la madre.10,11

CONCLUSIÓN

El hematoma hepático subcapsular asociado con eclampsia y síndrome HELLP es una urgencia obstétrica compleja. Su diagnóstico requiere sospecha clínica ante hipertensión, dolor abdominal y deterioro hemodinámico. El tratamiento actual prioriza el enfoque multimodal que combina el empaquetamiento hepático y la radiología intervencionista para mejorar la supervivencia. En la paciente del caso, la embolización arterial selectiva evitó la ruptura y aceleró la recuperación. Los factores de riesgo, como el consumo de metanfetaminas, deben considerarse, y la colaboración entre equipos médicos es decisiva para un buen pronóstico.

DECLARACIONES

Conflicto de interés

Los autores declaran que no existe algún conflicto de intereses de orden económico, profesional o personal que pudiera haber influido en la realización, análisis o redacción de este manuscrito. No se recibió financiamiento de empresas farmacéuticas o de dispositivos médicos relacionados con las técnicas descritas (embolización y empaquetamiento).

Financiamiento

Esta investigación no recibió financiamiento externo de agencias operadoras de fondos concursables, organizaciones gubernamentales, ni de la industria privada. Los recursos utilizados para el diagnóstico y tratamiento de la paciente fueron los propios de la institución de salud pública donde se brindó la atención.

Uso de IA

No se recurrió al uso de IA.

Contribución de los autores

ADSS: concepción y diseño del estudio, redacción del borrador original y revisión crítica del contenido intelectual. LARM: recolección de datos clínicos, revisión del expediente y obtención de imágenes diagnósticas. AYRG: análisis metodológico, búsqueda bibliográfica y revisión de la discusión técnica. NCE: análisis metodológico, búsqueda bibliográfica y revisión de la discusión técnica. JAHP: supervisión clínica, validación del tratamiento descrito y aprobación de la versión final del manuscrito.

Consentimiento informado

Se obtuvo el consentimiento informado de la paciente para publicar este artículo.

Referencias clave

1. Augustin GM, Hadzic JJ, Oreskovic S. Hypertensive disorders in pregnancy complicated by liver rupture or hematoma: a systematic review of 391 reported cases. World J Emerg Surg 2022; 17 (1): 40. https://doi.org/10.1186/s13017-022-00444-w

2. Fernández-Gordon Sánchez FM, Cudero Quintana L, Algara San Nicolás M, Alvarez-Nava Torrego T, et al. Hepatic subcapsular hematoma post-endoscopic retrograde cholangiopancreatography requiring embolization. Rev Esp Enferm Dig 2023; 115 (9): 523-24. https://doi.org/10.17235/reed.2022.9342/2022

3. Zhou X, Shi QZ, Xie L, Wang L, et al. Transcatheter arterial embolization in postpartum hellp syndrome: a case report. Int J Surg Case Rep 2024; 123: 110291. https://doi.org/10.1016/j.ijscr.2024.110291

Permisos

Todas las figuras e imágenes son originales. Se obtuvo el consentimiento informado por escrito de la paciente para la publicación de su caso clínico, datos de laboratorio e imágenes diagnósticas (tomografía y angiografía), garantizando en todo momento el anonimato y la confidencialidad de su identidad.

REFERENCIAS

  1. Augustin GM, Hadzic JJ, Oreskovic S. Hypertensive disorders in pregnancy complicated by liver rupture or hematoma: a systematic review of 391 reported cases.World J Emerg Surg 2022; 17 (1): 40. https://doi.org/10.1186/s13017-022-00444-w
  2. Chen H, Y Li, S Yang, X Pan, et al. Spontaneously ruptured huge hepatic subcapsular hematoma associated with preeclampsia: a case report and literature review. J Int Med Res 2024; 52 (7): 3000605241264220. https://doi.org/10.1177/03000605241264220
  3. Dabi BK, Mohammed FAD, Merga OT. Spontaneous hepatic rupture complicating preeclampsia and hellp syndrome: a case report. Case Rep Med 2024: 4616669. https://doi.org/10.1155/carm/4616669
  4. Editorial Office of Asian, Biomedicine. Hypertension, Preeclampsia, and Hellp Syndrome in Pregnancy. Asian Biomed (Res Rev News) 2023; 17 (5): 206-7. https://doi.org/10.2478/abm-2023-0061.
  5. Erez OR, Romero E, Jung P, Chaemsaithong M, et al. Preeclampsia and eclampsia: the conceptual evolution of a syndrome. Am J Obstet Gynecol 2022; 226 (2S): S786-S803. https://doi.org/10.1016/j.ajog.2021.12.001
  6. Fernandez-Gordon Sanchez FM, Cudero Quintana M, Algara San Nicolas T, Alvarez-Nava Torrego JC, et al. Hepatic subcapsular hematoma post-endoscopic retrograde cholangiopancreatography requiring embolization. Rev Esp Enferm Dig 2023; 115 (9): 523-24. https://doi.org/10.17235/reed.2022.9342/2022.
  7. Liu JL, Liu GL, Yao L. Conservative treatment of huge hepatic subcapsular hematoma complicated with hepatic infarction after cesarean section caused by hellp syndrome - a case report and literature review. Z Geburtshilfe Neonatol 2023; 227 (3): 219-26. https://doi.org/10.1055/a-1967-2451
  8. Luhning KH, MacCormick B, Macaulay M, Saunders CC. Subcapsular hepatic hematoma as a complication of severe preeclampsia: a case report. J Med Case Rep 2021; 15 (1): 625. https://doi.org/10.1186/s13256-021-03166-w
  9. Marinelli A, Hill J. Management of ruptured subcapsular liver hematoma as a result of hemolysis, elevated liver enzyme, and low platelet syndrome in a rural facility. Cureus 2023; 15 (1): e33852. https://doi.org/10.7759/cureus.33852
  10. Tegene DG, Regassa AU, Ayalew N. Successful management of intraoperatively diagnosed ruptured spontaneous sub-capsular liver hematoma in a woman with preeclampsia. Int J Women´s Health 2021; 13: 1175-79. https://doi.org/10.2147/IJWH.S333905
  11. Zhou XQ, Shi Z, Xie L, Wang L, et al. Transcatheter arterial embolization in postpartum hellp syndrome: a case report. Int J Surg Case Rep 2024; 123: 110291. https://doi.org/10.1016/j.ijscr.2024.110291
Enviar un comentario

Te puede interesar