Información exclusiva para profesionales de la salud
← Volver al número Ver PDF

Síndrome de Parry-Romberg y embarazo complicado con restricción del crecimiento fetal, preeclampsia y tromboembolia pulmonar

Parry-Romberg Syndrome and pregnancy complicated by fetal growth restriction, preeclampsia and pulmonary thromboembolism.



RESUMEN

ANTECEDENTES: El síndrome de Parry-Romberg es una enfermedad craneofacial de baja frecuencia caracterizada por atrofia hemifacial progresiva que puede afectar la piel, los músculos y huesos. Su causa se desconoce, aunque se ha propuesto un origen autoinmunitario por su asociación con otras enfermedades de este tipo. Además de las manifestaciones cutáneas puede haber alteraciones neurológicas, oftalmológicas y orales. La prevalencia estimada es de 1 caso por cada 700,000 personas, con predominio en mujeres. Su relación con el embarazo se ha descrita solo en pocos casos con desenlaces favorables.

CASO CLÍNICO: Paciente de 28 años, con diagnóstico de síndrome de Parry Romberg, sin seguimiento especializado, con embarazo de 30.6 semanas en curso. Ingresó debido a un cuadro respiratorio, con documentación de tromboembolia pulmonar, con sospecha inicial de hipertensión arterial pulmonar, descartada posteriormente con estudios de imagen. Recibió anticoagulación con enoxaparina y oxígeno suplementario. Se integró el diagnóstico de restricción del crecimiento fetal temprano (estadio I), con adecuado control hemodinámico durante la vigilancia semanal. A las 37.2 semanas se decidió la finalización del embarazo, mediante cesárea, indicada por presentación pélvica en fase latente de trabajo de parto. Se obtuvo una recién nacida de 2015 g, con evolución favorable. Durante el puerperio quirúrgico inmediato tuvo cifras tensionales elevadas y proteinuria en cuantificación de proteínas en orina de 24 horas, por lo que se diagnosticó preeclampsia sin criterios de gravedad, controlada con nifedipino de liberación prolongada.

CONCLUSIÓN: El síndrome de Parry-Romberg es una enfermedad poco frecuente, con evidencia limitada de su asociación con el embarazo. Este caso destaca por ser, hasta donde se tiene conocimiento, el primero en describir la coexistencia de complicaciones maternas y fetales en una paciente con síndrome de Parry-Romberg.

PALABRAS CLAVE: Síndrome de Parry-Romberg, preeclampsia, restricción del crecimiento fetal, tromboembolia pulmonar, embarazo de alto riesgo

ABSTRACT

BACKGROUND: Parry-Romberg syndrome is an uncommon craniofacial disorder characterized by progressive hemifacial atrophy involving the skin, musculature, and osseous structures. The etiology remains unidentified, although an autoimmune mechanism has been proposed due to its correlation with other autoimmune conditions. Beyond dermatological involvement, neurological, ophthalmological, and oral abnormalities may also occur. The syndrome is estimated to affect 1 in 700,000 individuals, with a predilection for female patients. Isolated reports have documented favorable outcomes associated with pregnancy.

CLINICAL CASE: A 28-year-old woman diagnosed with Parry-Romberg syndrome without specialized follow-up presented at 30.6 weeks of gestation with respiratory complaints and was diagnosed with pulmonary thromboembolism. Pulmonary arterial hypertension was initially suspected but subsequently excluded through imaging studies. Management included enoxaparin anticoagulation and supplemental oxygen. Early fetal growth restriction (stage I) was identified; weekly monitoring maintained appropriate hemodynamic stability. At 37.2 weeks, cesarean section was performed owing to breech presentation during the latent phase of labor. A female neonate weighing 2015 g was delivered with a favorable outcome. Postoperatively, the patient developed hypertension and proteinuria as measured by 24-hour urine protein quantification, resulting in a diagnosis of preeclampsia that did not meet criteria for severe disease. The condition was effectively managed with extended-release nifedipine.

CONCLUSION: Parry-Romberg syndrome is rarely reported in association with pregnancy, and evidence regarding maternal and fetal outcomes remains limited. This case represents, to our knowledge, the first description documenting both maternal and fetal complications in a patient with Parry-Romberg syndrome.

KEYWORDS: Parry-Romberg syndrome, Preeclampsia, Fetal growth restriction, Pulmonary thromboembolism, High-risk pregnancy


ANTECEDENTES

El síndrome de Parry-Romberg, descrito por primera vez por Caleb Parry (1815) y Moritz Romberg (1846), es un trastorno craneofacial infrecuente, caracterizado por atrofia hemifacial progresiva que afecta la piel, el tejido subcutáneo, la grasa y, en casos graves, el músculo y hueso subyacentes.

Suele manifestarse durante las dos primeras décadas de la vida y es de alivio espontáneo, con aumento de los síntomas durante un lapso de 2 a 10 años, seguido de estabilización espontánea.1,2 Además de las alteraciones cutáneas, son frecuentes las manifestaciones extracutáneas, entre las que destacan las complicaciones neurológicas (migraña y crisis convulsivas),3,4 oftalmológicas (enoftalmos)5 y orales (atrofia lingual),6 que pueden manifestarse en cualquier etapa de la enfermedad.1

La patogénesis del síndrome de Parry-Romberg no se ha esclarecido del todo; sin embargo, se ha propuesto un origen autoinmunitario.7 Está descrita su asociación con la esclerodermia lineal, en morfea tipo golpe de sable, variante que afecta la región facial frontoparietal y el cráneo. Ello está respaldado por los hallazgos de histopatología inflamatoria, la existencia de autoanticuerpos séricos y la coexistencia de otras enfermedades autoinmunitarias, como el lupus eritematoso sistémico.7

El síndrome de Parry-Romberg es un padecimiento poco frecuente, con una prevalencia estimada aproximada de 1 caso por cada 700,000 personas;8,9 con mayor afectación al sexo femenino.10 Hasta el momento, no se dispone de datos ni referencias de su epidemiología en México.

El primer caso reportado en la bibliografía, que documenta la asociación entre síndrome de Parry-Romberg y embarazo, data del año 2001, descrito en el Hospital General de México Dr. Eduardo Liceaga. Se trató de una paciente de 19 años, con antecedentes de enucleación por glaucoma en el ojo izquierdo, trasplante de córnea en el ojo derecho y rinoseptoplastia. El control prenatal se inició a las 31 semanas de gestación y no se reportaron complicaciones maternas ni eventos adversos perinatales asociados.11

En 2014 se publicó otro caso que documentó la asociación entre síndrome de Parry-Romberg y embarazo, efectuado en Delhi, India. Se trató de una paciente de 35 años, primigesta, que durante la segunda mitad del embarazo tuvo espasmos hemimasticatorios, atrofia hemifacial y lingual progresiva. No se reportaron complicaciones en la madre ni en el feto.12

CASO CLÍNICO

Paciente de 28 años, con antecedentes de dos embarazos, un aborto y una cesárea, talla 152 cm, peso 30 kg, índice de masa corporal 13, hemotipo O positivo, originaria y residente de Ayutla de los Libres, Guerrero. A los 15 años se le diagnosticó síndrome de Parry Romberg establecido por un médico internista, por atrofia hemifacial progresiva (Figura 1), sin seguimiento.

<strong>Figura 1</strong>
Figura 1. Manifestaciones clínicas del síndrome de Parry-Romberg en la paciente. A. Atrofia hemifacial izquierda con pérdida de tejido celular subcutáneo y asimetría facial evidente. B. Depresión de tejidos blandos y retracción cutánea. C. Afectación progresiva, compatible con atrofia estructural avanzada.

Ingresó al hospital debido a un cuadro de tos, con expectoración y hemoptisis. El cultivo de la expectoración evidenció el crecimiento de Escherichia coli BLEE positivo, con baciloscopia negativa; recibió meropenem durante 10 días. Posteriormente fue trasladada al Hospital General de México para vigilancia y atención en una unidad de tercer nivel. A su ingreso cursaba con 30.6 semanas de embarazo, determinadas por la fecha de la última menstruación, síndrome de Parry Romberg (Figura1), desnutrición aguda y probable hipertensión arterial pulmonar, de acuerdo con el ecocardiograma que reportó una presión sistólica de la arteria pulmonar de 51 mmHg, sin evidencia de insuficiencia cardiaca.

Se determinó la necesidad de atención médica multidisciplinaria, en coordinación con los servicios de neumología, genética, reumatología, cirugía plástica, nutrición clínica, oftalmología y epidemiología. La hipertensión arterial pulmonar se excluyó con base en el ecocardiograma, radiografía de tórax y angiotomografía torácica. En esos estudios se identificaron hallazgos compatibles con tromboembolia pulmonar, evidenciada por el defecto de llenado central en el tronco del lóbulo basal derecho (Figura 2). La anticoagulación se inició con 1 mg/kg de enoxaparina.

<strong>Figura 2</strong>
Figura 2. Radiografía de tórax al ingreso. Hiperclaridad en la región pulmonar basal derecha y discreta disminución de la trama vascular, hallazgos compatibles con alteraciones en la perfusión sugerentes de evento tromboembólico. Pulmón izquierdo con destrucción heterogénea del parénquima y cambios fibróticos, quizá secundarios a daño estructural crónico.

Se le administró oxígeno suplementario mediante puntas nasales a 3 L/minuto, con adecuada respuesta clínica y saturación de oxígeno mantenida por encima del 95%.

Además, se consideró la posibilidad de tuberculosis pulmonar, debido a la coexistencia de bulla en el segmento apical y múltiples nódulos con tendencia a la confluencia en relación con zonas de consolidación (Figura 3), que se descartó con la baciloscopia negativa.

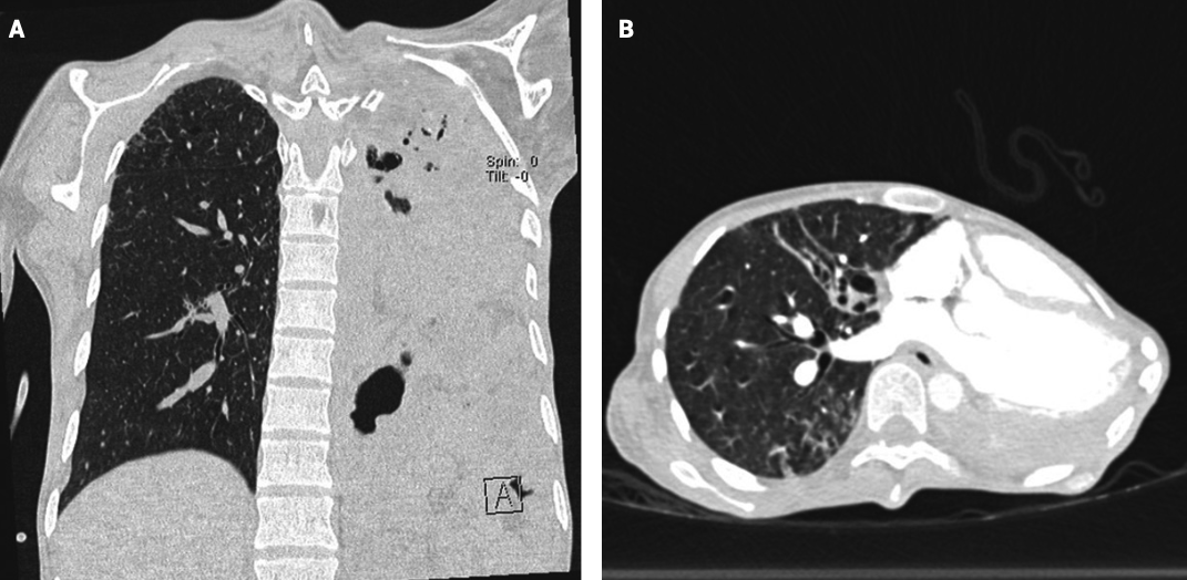
<strong>Figura 3</strong>
Figura 3. Angiotomografía de tórax con contraste. A. Corte coronal que muestra un defecto de llenado en la rama basal derecha de la arteria pulmonar, compatible con tromboembolia pulmonar aguda. B. Reconstrucción en ventana del parénquima que evidencia la destrucción pulmonar heterogénea, con áreas bullosas y distorsión, con nódulos confluentes, sugerentes de daño crónico.

Ante la posibilidad de un componente autoinmunitario relacionado con la enfermedad reumática, se solicitó la valoración correspondiente. Se documentaron anticuerpos antinucleares positivos en título elevado (1:640), con panel autoinmunitario complementario negativo, que incluyó anticuerpos citoplasmáticos, antimitóticos, anti-dsDNA, anti-Sm, anti-Ro, anti-La, anticoagulante lúpico y anticardiolipina. En ausencia de manifestaciones clínicas, serológicas o bioquímicas sugerentes de actividad inflamatoria sistémica o enfermedad autoinmunitaria definida, no se consideró indicado el inicio de tratamiento inmunosupresor.

Por lo que se refiere a las condiciones del feto, se estableció el diagnóstico de restricción del crecimiento fetal temprano, estadio I. De acuerdo con la primera ecografía se documentó la existencia de un feto único vivo en presentación cefálica, con fetometría promedio correspondiente a 29 semanas, peso estimado de 1371 gramos (percentil < 3), hemodinamia fetal conservada (Figura 4), volumen del líquido amniótico de 4.1 cm por máxima columna vertical, placenta corporal anterior grado I y longitud cervical de 27 mm. A partir de entonces permaneció en vigilancia mediante ultrasonido de crecimiento y evaluación hemodinámica semanal.

<strong>Figura 4</strong>
Figura 4. Evaluación ecográfica de crecimiento y hemodinamia fetal. A. Corte axial, cefálico, que muestra el diámetro biparietal y la circunferencia cefálica por debajo del percentil 3 para las semanas de gestación. B. Corte axial, abdominal, circunferencia abdominal disminuida, sugerente de restricción del crecimiento fetal. C. Medición de la longitud femoral igualmente por debajo de percentil 3. D. Doppler de la arteria umbilical con índice de pulsatilidad y resistencia en límites normales. E. Doppler del ductus venoso con onda a positiva y patrón trifásico normal, consistente con hemodinamia fetal conservada.

En la última ecografía, a las 36 semanas de gestación, se encontró en presentación pélvica, frecuencia cardiaca de 143 lpm, con fetometría promedio correspondiente a 30.1 semanas, con peso fetal estimado de 1579 g (percentil < 3). El índice de líquido amniótico se determinó en 17.0 cm, placenta corporal anterior, hemodinamia fetal conservada y perfil biofísico 8/8. Con base en estos hallazgos se confirmó la persistencia del diagnóstico de restricción del crecimiento fetal estadio I.

A las 37.2 semanas de gestación se decidió la finalización del embarazo. No existió contraindicación médica atribuible al síndrome de Parry-Romberg para la vía vaginal; sin embargo, la indicación quirúrgica se estableció por presentación pélvica y trabajo de parto en fase latente (3 cm de dilatación cervical). Hallazgos perinatales: recién nacida, Apgar 7-9, peso 2015 g, talla 44.5 cm, Capurro de 37.0 semanas, puntaje de Silverman 2, con sangrado total estimado en 200 mL. La recién nacida permaneció en vigilancia durante 24 horas en el cunero de transición, sin requerir soporte ventilatorio, oxígeno suplementario, apoyo hemodinámico ni hospitalización en cuidados neonatales.

Durante el puerperio quirúrgico inmediato se registró una elevación de las cifras tensionales, con predominio de las diastólicas, superiores a 90 mmHg en más de dos determinaciones separadas por 4 horas, sin alcanzar valores correspondientes a crisis hipertensiva. El perfil bioquímico reportó: 15.8 g/dL, hematocrito 48%, 122 plaquetas ×109/L, glucosa 77 mg/dL, urea 45 mg/dL, creatinina 0.50 mg/dL, ácido úrico 7.7 mg/dL, bilirrubina total 0.3 mg/dL, ALT 25 U/L, AST 41 U/L, deshidrogenasa láctica 200 U/L y potasio 4.4 mmol/L. El examen general de orina reportó un pH 6.0, esterasa leucocitaria y nitritos negativos, con proteinuria de 200 mg. La cuantificación de proteínas en orina de 24 horas reportó 350 mg/24 h; se integró el diagnóstico de preeclampsia.

El tratamiento se inició con 30 mg de nifedipino de liberación prolongada cada 12 horas, con lo que se consiguió mantener las cifras tensionales en metas terapéuticas y sin manifestaciones clínicas de encefalopatía hipertensiva. A las 48 horas de vigilancia evolucionó de manera favorable, sin complicaciones derivadas del procedimiento quirúrgico ni del trastorno hipertensivo. Se dio de alta del servicio con diagnósticos de: puerperio quirúrgico mediato, secundario a presentación pélvica y trabajo de parto en fase latente, restricción del crecimiento fetal estadio I, preeclampsia sin criterios de gravedad, síndrome de Parry-Romberg, tromboembolia pulmonar, desnutrición aguda y esterilidad quirúrgica.

Se programó el seguimiento durante el puerperio, con registro domiciliario durante tres semanas, en las que permaneció con cifras en metas terapéuticas y con citas semanales. En ese lapso se efectuaron controles clínicos y bioquímicos que no evidenciaron daño a órgano blanco. La paciente se consideró en condiciones aptas para su alta y continuar el seguimiento en el servicio de medicina materno fetal, con seguimiento ambulatorio subsecuente en los servicios correspondientes.

DISCUSIÓN

El síndrome de Parry-Romberg es una afección craneofacial de excepcional frecuencia, caracterizada por atrofia hemifacial progresiva que afecta la piel, el tejido subcutáneo, el músculo y el hueso.1,2 Por lo general es de alivio espontáneo, con inicio en etapas pediátricas o adolescentes. Si bien su causa permanece indeterminada, múltiples autores sugieren un origen autoinmunitario, respaldado por hallazgos histopatológicos, la detección de autoanticuerpos y la asociación con otras enfermedades autoinmunitarias, como esclerodermia lineal y lupus eritematoso sistémico.1,7

Su prevalencia estimada es de 1 caso por cada 700,000 habitantes, con predominio femenino y limitada información epidemiológica en Latinoamérica.8,10 La bibliografía médica documenta solo dos casos vinculados con el embarazo: uno reportado en México en 2001 sin complicaciones obstétricas o perinatales,11 y otro en India en 2014, igualmente sin desenlaces materno-fetales adversos.12 Si bien no se ha demostrado una relación causal directa entre el síndrome de Parry-Romberg y las complicaciones observadas en el caso que aquí se reporta (restricción del crecimiento fetal, preeclampsia y tromboembolia pulmonar), la coexistencia temporal de ambas afecciones sugiere una hipótesis fisiopatológica plausible, sobre todo considerando el potencial trasfondo autoinmunitario del síndrome.

No obstante, estas asociaciones deben interpretarse con prudencia, pues podrían corresponder a coincidencias o estar moduladas por otros factores maternos concomitantes, como un estado nutricional gravemente afectado y la ausencia de seguimiento especializado previo. En consecuencia, no es posible establecer una relación causal; son necesarios más casos y estudios sistemáticos para dilucidar esta posible interacción.

El caso aquí reportado resalta la importancia de la atención multidisciplinaria, en la que participaron neumólogos, reumatólogos, cirujano plástico, nutriólogo y un especialista en medicina materno-fetal, esto permitió una vigilancia estrecha, la toma de decisiones oportunas y una evolución favorable para la madre y el neonato. La excepcionalidad del síndrome y la falta de datos en embarazadas justifican la necesidad de continuar reportando casos, con el propósito de optimizar el enfoque diagnóstico y terapéutico en embarazos de alto riesgo.

Limitaciones

El reporte tiene las limitaciones inherentes a un estudio de tipo caso clínico, por lo que no permite establecer relaciones causales entre el síndrome de Parry-Romberg y las complicaciones maternas y fetales observadas. La ausencia de series de casos o estudios comparativos limita la interpretación de los hallazgos, que deben considerarse descriptivos e hipotéticos. Asimismo, la coexistencia de otros factores maternos relevantes, como la desnutrición aguda y la falta de seguimiento especializado previo, pudo influir en la evolución clínica. No obstante, la relevancia del caso estriba en documentar una presentación no previamente reportada y generar hipótesis para futuras investigaciones.

CONCLUSIONES

El síndrome de Parry-Romberg es una enfermedad de muy baja frecuencia, su asociación con el embarazo está poco documentada en la bibliografía, con muy pocos casos reportados y sin desenlaces maternos o perinatales adversos descritos previamente. El caso que aquí se reporta destaca por ser, hasta donde se tiene conocimiento, el primero en describir la coexistencia de complicaciones maternas y fetales en una paciente con síndrome de Parry-Romberg. Este escenario resalta la necesidad de atención multidisciplinaria que garantice un seguimiento estrecho y una atención integral. La escasez de evidencia publicada subraya la importancia de reportar y analizar estos casos, para optimizar las estrategias diagnósticas y terapéuticas en embarazos con comorbilidades poco frecuentes.

DECLARACIONES

Este caso fue registrado, retrospectivamente, en la plataforma Open Science Framework (OSF) conforme a las recomendaciones de la guía CARE: https://osf.io/75wmy/overview

Agradecimientos

Los autores expresan su agradecimiento a la paciente por su confianza y disposición para contribuir al conocimiento médico. Asimismo, agradecen al Hospital General de México Dr. Eduardo Liceaga las facilidades brindadas para la realización de este trabajo.

Conflicto de interés

Los autores declaran no tener conflicto de interés.

Financiamiento

Los autores no tienen relación comercial o financiera con algún patrocinador.

Uso de IA

Los autores no recurrieron a la inteligencia artificial para la elaboración del artículo.

Contribución de autores

AIPG: concepción, redacción y diseño del estudio. JCRV: adquisición de datos e información. JGM: análisis e interpretación de datos. JTI: análisis e interpretación de datos. JOB, FMCC, AIPG: planeación del artículo.

Declaración de derechos humanos y de los animales

Solo se estudió una paciente y su feto.

Consentimiento informado

Se obtuvo consentimiento informado por escrito de la paciente para la publicación del presente caso clínico.

Referencias clave

1. Schultz KP, Dong E, Truong TA, Maricevich RS. Parry Romberg Syndrome. Clin Plast Surg 2019; 46 (2): 231-37. https://doi.org/10.1016/j.cps.2018.11.007

2. López-Leyva E, Dueñas-Arias E, Juárez-Azpilcueta A, Montaño-Uzcanga A, et al. Síndrome de Parry-Romberg con glaucoma y embarazo: primer caso en la literatura. Gac Méd Méx 2001; 137 (1): 65-8.

3. Panda AK, Gopinath G, Singh S. Parry-Romberg syndrome with hemimasticatory spasm in pregnancy; A dystonia mimic. J Neurosci Rural Pract 2014; 5 (2): 184-6. https://doi.org/10.4103/0976-3147.131675

4. Saulle I, Gidaro A, Donadoni M, Vanetti C, et al. Immunological profiles in parry-romberg syndrome: a case-control study. J Clin Med 2024; 13 (5): 1219. https://doi.org/10.3390/jcm13051219

Permisos

Todas las figuras y cuadros son originales.

REFERENCIAS

  1. Schultz KP, Dong E, Truong TA, Maricevich RS. Parry Romberg Syndrome. Clin Plast Surg. 2019 Apr;46(2):231-237. https://doi.org/10.1016/j.cps.2018.11.007
  2. Aydın H, Yologlu Z, Sargın H, Metin MR. Parry-Romberg syndrome. Physical, clinical, and imaging features. Neurosciences (Riyadh) 2015; 20 (4): 368-71. https://doi.org/10.17712/nsj.2015.4.20150142
  3. De la Garza-Ramos C, Jain A, Montazeri SA, Okromelidze L, McGeary R, Bhatt AA, Sandhu SJS, Grewal SS, Feyissa A, Sirven JI, Ritaccio AL, Tatum WO, Gupta V, Middlebrooks EH. Brain Abnormalities and Epilepsy in Patients with Parry-Romberg Syndrome. AJNR Am J Neuroradiol. 2022 Jun;43(6):850-856. https://doi.org/10.3174/ajnr.A7517
  4. Akkus S, Amatya S, Shrestha K, Sriwastava S, Karides DA. Late-onset Parry-Romberg Syndrome with atypical neurological manifestations: A case report. Radiol Case Rep. 2023 Nov 17;19(1):459-463. https://doi.org/10.1016/j.radcr.2023.10.032
  5. Bucher F, Fricke J, Neugebauer A, Cursiefen C, Heindl LM. Ophthalmological manifestations of Parry-Romberg syndrome. Surv Ophthalmol. 2016 Nov-Dec;61(6):693-701. https://doi.org/10.1016/j.survophthal.2016.03.009
  6. Hariri EM, Sellouti M, Ramdi H. Oral Manifestations of Parry-Romberg Syndrome: A Case Report. Cureus. 2024 Jul 6;16(7):e63984. https://doi.org/10.7759/cureus.63984
  7. Saulle I, Gidaro A, Donadoni M, Vanetti C, Mutti A, Romano ME, Clerici M, Cogliati C, Biasin M. Immunological Profiles in Parry-Romberg Syndrome: A Case-Control Study. J Clin Med. 2024 Feb 21;13(5):1219. https://doi.org/10.3390/jcm13051219
  8. Kumar M, Singla R, Singh G, Kasrija R, Sharma M. Parry Romberg Syndrome: A Case Report and an Insight Into Etiology. Cureus. 2023 Jul 6;15(7):e41465. https://doi.org/10.7759/cureus.41465
  9. Afreh YA, Twum KA, Amankwa AT, Ashley G, Ankomah K, Otoo OK. Parry Romberg syndrome: A case report. Radiol Case Rep. 2024;19(9):6208-12. https://doi.org/10.1016/j.radcr.2024.09.029
  10. Marappan H, Am R. Parry-Romberg Syndrome: A Report of a Rare Case and a Comprehensive Review. Cureus. 2024 Aug 20;16(8):e67345. https://doi.org/10.7759/cureus.67345
  11. López-Leyva E, Dueñas-Arias E, Juárez-Azpilcueta A, Montaño-Uzcanga A, et al. Síndrome de Parry-Romberg con glaucoma y embarazo: primer caso en la literatura. Gac Méd Méx 2001; 137 (1): 65-8.
  12. Panda AK, Gopinath G, Singh S. Parry-Romberg syndrome with hemimasticatory spasm in pregnancy; A dystonia mimic. J Neurosci Rural Pract 2014; 5 (2): 184-6. https://doi.org/10.4103/0976-3147.131675
Enviar un comentario

Te puede interesar