Información exclusiva para profesionales de la salud
← Volver al número Ver PDF

Tumoraciones fetales en cabeza y cuello. Reporte de tres casos

Fetal masses in head and neck. Report of three cases.



RESUMEN

ANTECEDENTES: Las tumoraciones cervicales fetales requieren una evaluación cuidadosa debido a su potencial afectación de la vía aérea. Las tumoraciones incluyen linfangiomas y teratomas.

CASO CLÍNICO: Paciente 1 de 26 años, con diagnóstico de feto con tumoración cervical a las 29 semanas a quien a los dos días se insertó un catéter para drenaje y aplicación de doxiciclina en tres ocasiones; se practicó la traqueostomía y el tumor se resecó a los 25 días de vida. Paciente 2 de 22 años, con diagnóstico a las 28 semanas de feto con teratoma inmaduro de cuello, resecado a las 48 horas de vida. Paciente 3 de 28 años, con diagnóstico de tumoración multiquística a las 27 semanas, con cuatro ciclos de escleroterapia. Posterior al nacimiento los tres pacientes se trasladaron a una institución pediátrica de tercer nivel para tratamiento quirúrgico y de escleroterapia.

CONCLUSIÓN: El tratamiento de las tumoraciones cervicales fetales representa un reto. El pronóstico es variable, dependiente del tamaño, tipo y afectación de estructuras adyacentes. Las estrategias de diagnóstico han robustecido el tratamiento al momento del nacimiento y durante la supervivencia.

PALABRAS CLAVE: Tumoraciones fetales de cabeza y cuello, linfangioma, teratoma

ABSTRACT

BACKGROUND: Fetal cervical masses require careful evaluation due to their potential to obstruct the airway. These masses include lymphangiomas and teratomas.

CLINICAL CASE: Patient 1: A 26-year-old woman diagnosed with a fetal cervical tumour at 29 weeks. Two days later, a catheter was inserted for drainage and doxycycline was administered three times. A tracheostomy was performed and the tumour was resected at 25 days of life. Patient 2, a 22-year-old woman, was diagnosed with an immature cervical teratoma at 28 weeks. The tumour was resected 48 hours after birth. Patient 3, a 28-year-old woman, was diagnosed with a multicystic mass at 27 weeks and underwent four cycles of sclerotherapy. Following birth, all three patients were transferred to a tertiary paediatric centre for surgical treatment and sclerotherapy.

CONCLUSION: The management of fetal cervical tumours is challenging. The prognosis varies depending on the tumour's size, type and whether it has spread to adjacent structures. Improved diagnostic strategies have enhanced treatment at birth and during the postnatal period.

KEYWORDS: Fetal head and neck masses, Lymphangioma, Teratoma


ANTECEDENTES

Las tumoraciones cervicales fetales representan un aspecto crítico de la medicina prenatal.1,2,3 Es frecuente que requieran una evaluación cuidadosa y tratamiento debido a la potencial afectación de la vía aérea.4-7 Esas tumoraciones comprenden una diversidad de neoplasias, como los linfangiomas y teratomas que afectan de forma significativa el desenlace del neonato cuando no se tratan oportuna y adecuadamente.3,8 El establecimiento temprano del diagnóstico correcto mediante técnicas de imagen avanzadas, como el ultrasonido y la resonancia magnética nuclear, son de suma importancia para un tratamiento efectivo que influya en la decisión de la vía de nacimiento que requiera del procedimiento EXIT (Ex-utero Intrapartum Treatment procedure) y cuidado neonatal posterior.4,9 Cuadros 1 y 2

CASOS CLÍNICOS

Caso 1

Paciente de 26 años, con diagnóstico de tumoración cervical en el feto a las 29 semanas, con polihidramnios, ultrasonido y resonancia magnética con reporte de tumoración en la región cervical anterior y derecha (8.1 x 7.3 cm), redondeada, con bordes debidamente limitados, contenido heterogéneo y con algunas regiones hiperecogénicas: sólido y quístico, con septos, sin vascularidad interna. El recién nacido se obtuvo, por cesárea, a las 38 semanas, con peso de 3590 g, Apgar 8-9, llanto sostenido, con apnea a los 10 minutos que obligó a la intubación. En el ultrasonido se advirtió una tumoración quística. A las 48 horas se insertó un catéter para drenaje y aplicación de doxiciclina en tres ocasiones. En virtud del tamaño del tumor y afectación de la ventilación se procedió a la traqueostomía y resección del tumor a los 25 días de vida. Se dio de alta del hospital con la traqueostomía. Figura 1

<strong>Cuadro 1</strong>
Cuadro 1. Características de las madres de fetos con tumoraciones de cabeza y cuello. E = embarazo, C = cesárea, P = parto, A = aborto, US = ultrasonido, RM = resonancia magnética.
<strong>Figura 1</strong>
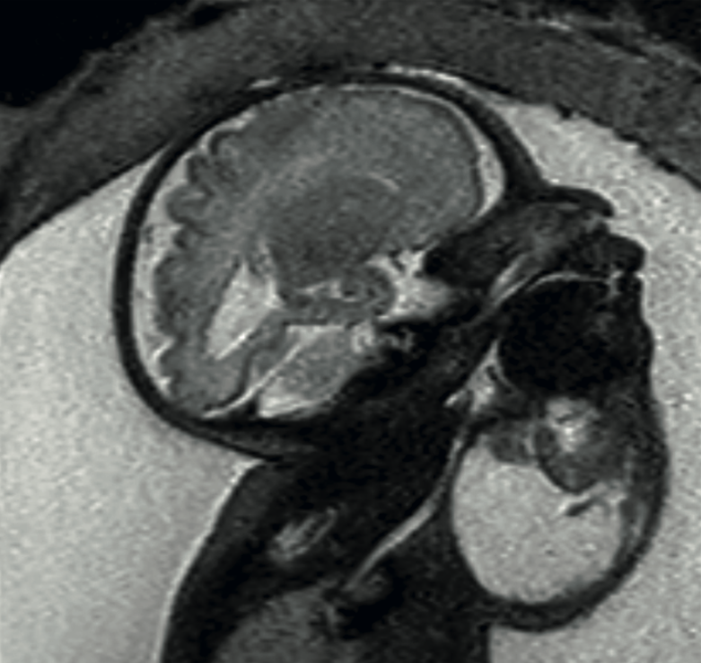
Figura 1. Resonancia a las 32 semanas, secuencia T2, feto con hiperextensión del cuello, secundaria a lesión quística, con escaso componente sólido en el hemicuello derecho.
<strong>Cuadro 2</strong>
Cuadro 2. Características neonatales de los fetos con tumoraciones de cabeza y cuello.

Caso 2

Paciente de 22 años, con diagnóstico de tumoración en el cuello del feto a las 28 semanas, con polihidramnios. En el ultrasonido y la resonancia magnética se observó un tumor en el lado izquierdo y anterior del cuello (5 x 5.9 cm), heterogéneo en su interior, con partes quísticas y sólidas, con aparente vaso nutricio a la aplicación del Doppler. El nacimiento por cesárea se llevó a cabo a las semana 37 semanas, de una niña de 2820 g, Apgar 5-9. Se intubó mediante video-laringoscopia. En el ultrasonido se advirtió una tumoración sólida, y la resección se efectuó a las 48 horas de vida, por teratoma inmaduro. Se dio de alta con indicación de interconsulta. Figura 2

Caso 3

Paciente de 28 años, con diagnóstico a las 27 semanas de feto con tumoración y polihidramnios. En el ultrasonido y resonancia magnética, a la altura del cuello, se advirtió una tumoración anterior, derecha, de contenido quístico y sólido (mixta) de aproximadamente 9.16 cm x 6.94 cm x 7.40 cm sin afectar la tráquea. A la aplicación del Doppler color la tumoración se observó sumamente vascularizada. El embarazo finalizó por cesárea, a las 37 semanas, con obtención de un recién nacido masculino, Apgar 8-9. Previo drenaje se procedió a la escleroterapia en tres ocasiones, con dicloxacilina. Se dio de alta del hospital a los 12 días, con aplicación de un cuarto ciclo de escleroterapia. Continuó en control en la consulta externa. Figura 3 y Cuadros 1 y 2

<strong>Figura 2</strong>
Figura 2. Resonancia a las 35 semanas, secuencia T2. Se observa una lesión heterogénea mixta, quística-sólida, en el hemicuello izquierdo, con extensión al piso de la boca y desplazamiento de la vía aérea.
<strong>Figura 3</strong>
Figura 3. Recién nacido con lesión en el hemicuello derecho. En la resonancia magnética se advirtió una lesión multiquística que afectaba el piso de la boca, con extensión a la hipofaringe y mediastino.

Los tres neonatos se trasladaron, posterior al nacimiento, a una institución pediátrica de tercer nivel para la atención quirúrgica y de escleroterapia.

El protocolo seguido y señalado se comentó en el Comité de Ética institucional, quien autorizó llevar a cabo el estudio al tratarse de una investigación de carácter retrospectivo. El uso de imágenes y datos clínicos provenientes de los expedientes se hizo de manera anónima, con garantía de la confidencialidad y protección de la información personal, sin poner en riesgo, en algún momento, la identidad de las pacientes.

DISCUSIÓN

Las tumoraciones en el cuello del feto no son comunes; pueden descubrirse durante la evaluación ecosonográfica a partir del segundo trimestre tardío. Es por demás importante distinguir entre varios padecimientos por su repercusión en la consejería prenatal y en el cuidado posterior. Gran parte de las tumoraciones del cuello que se diagnostican antes del nacimiento son malformaciones linfáticas o teratomas, con una prevalencia de 1 en 10 a 30,000 embarazos.10

El punto importante es que puede estar afectada la vía aérea y para ello es pertinente planear un procedimiento “EXIT” Ex-utero Intrapartum Treatment), que ha permitido salvar la vida de fetos con una vía aérea crítica.4,9 El procedimiento consiste en oxigenar al feto a través de la placenta durante el nacimiento por cesárea, hasta que se asegura la vía aérea por laringoscopia, video-laringoscopia o traqueostomía.

Los teratomas congénitos son poco frecuentes, con una incidencia de 1 en 20 a 40,000 nacimientos.11

Los teratomas de cabeza y cuello representan, aproximadamente, del 3 al 5% de los teratomas neonatales. Lo común es que se originen de estructuras antero-laterales, con extensión hacia la línea media. Si bien estas lesiones suelen ser benignas (95%), por su tamaño y localización, la mortalidad puede alcanzar incluso 80%, como consecuencia de la obstrucción de la vía aérea.1,12 Predominan en el sexo femenino en el 75% de los casos.13

El ultrasonido en etapa fetal tiene una alta sensibilidad para identificar teratomas, grandes tumoraciones irregulares caracterizadas por componentes sólidos y quísticos con algunas calcificaciones, lo que puede ser patognomónico. La tumoración puede protruir y causar hiperextensión de la cabeza. La resonancia magnética mejora el diagnóstico al poder observar si es uni o multilocular, debidamente circunscrito, quístico y sólido, así como la extensión y anatomía de la vía aérea.2,13,14 En los casos aquí reportados se hicieron los dos estudios de imagen. Puede haber polihidramnios hasta en el 30%,7 en los tres casos los hubo.

Las anomalías congénitas del sistema linfático resultan del secuestro de sacos linfáticos primitivos de la circulación linfática normal. Consisten en tumoraciones quísticas benignas de vasos linfáticos agrandados referidas como linfangiomas. El tamaño de los quistes varía desde pequeños a grandes. Lo común es que se encuentren en el cuello. La prevalencia ha variado entre 1:4,000 a 65,000 nacidos vivos; el 85% son unilaterales.3

En el 50 a 70% de los casos los linfangiomas son evidentes en el ultrasonido prenatal o en el recién nacido. La resonancia magnética puede ser útil para el diagnóstico diferencial, sobre todo para diagnósticos inadecuados, con comunicaciones con estructuras intracraneales y afectación de la vía aérea, en particular si hay polihidramnios. La lesión puede ser muy grande, algunas veces de proporciones grotescas.15

Otros diagnósticos posibles para tumores congénitos del cuello incluyen: higroma quístico, hemangioma, lipoma, quiste dermoide, bocio congénito, quiste broncogénico, quiste branquial y quiste tirogloso.16

La atención médica perinatal de una gran tumoración en el cuello siempre es un reto por la dificultad para acceder a la vía aérea distorsionada; cuando no es posible identificarla la mortalidad es del 80 al 100%.

El procedimiento “Exit” está indicado en lesiones diagnosticadas durante el periodo prenatal, para prevenir la obstrucción de la vía aérea a la hora del nacimiento e incrementar las posibilidades de supervivencia. La cesárea se practica con anestesia general. Cuando la cabeza, el cuello y un miembro superior fetal están fuera del cuerpo de la madre, se practican los procedimientos necesarios para asegurar la vía aérea. La placenta permanece in útero para mantener la circulación y continuar la oxigenación del feto. Luego de asegurar la vía aérea se corta el cordón umbilical y se completa el nacimiento. Las intervenciones fetales durante el “Exit” pueden incluir: intubación endotraqueal, fibroscopio y traqueostomía.17

La bibliografía relacionada con el tratamiento quirúrgico de los teratomas congénitos de cabeza y cuello es limitada. La resección pronta y temprana con bordes marginales libres es muy efectiva a largo plazo.8,14,18 En los casos aquí reportados la resección se efectuó a las 48 horas. La mortalidad quirúrgica puede ser del 15% al 80% si no se atienden oportuna y debidamente las complicaciones debidas a la obstrucción de la vía aérea.1

En 2019, Jiang y colaboradores, en una revisión de 83 casos de teratoma cervical, el 81% requirió tratamiento de las complicaciones de la vía aérea.7 De una revisión efectuada en 2023 por Patel y su grupo, de 21 pacientes con teratoma, la resección promedio se efectuó a los cuatro días, con complicaciones de parálisis de cuerdas vocales, hemorragia y muerte en el 2%.8

Las indicaciones para tratar fetos con linfangiomas incluyen: el desfiguramiento, gran tamaño, fuga de fluido linfático e infecciones recurrentes. La dificultad respiratoria y la disfagia pueden ser razón para un tratamiento temprano de tumores que afectan el cuello y la cavidad oral. La modalidad más practicada es la escisión quirúrgica completa. Otras modalidades de tratamiento son: el drenaje simple, la aspiración, los corticosteroides, la escleroterapia, la radiación, el láser, la radiofrecuencia y la cauterización. La escleroterapia puede evitar la morbilidad a corto y largo plazo. Los agentes esclerosantes de elección incluyen: doxiciclina, corticosteroides, bleomicina, etanol y OK-432. En dos de los casos aquí comunicados se indicó escleroterapia con doxiciclina. Puede haber recurrencia en 5 a 15% de los casos.3,19

CONCLUSIÓN

Si bien el tratamiento de las tumoraciones fetales de cabeza y cuello plantea un reto debido a su complejidad y variabilidad, en tiempos recientes se han conseguido avances significativos que se reflejan en mejores condiciones de supervivencia de los neonatos afectados. El pronóstico puede ser pobre debido al tamaño del tumor, pero un equipo multidisciplinario representa un avance promisorio, aunado a procedimientos como el “Exit” que ha demostrado su potencial para disminuir la morbilidad. La evolución del diagnóstico prenatal y las estrategias quirúrgicas han robustecido el tratamiento de estas tumoraciones poco frecuentes que ponen en riesgo la vida.

DECLARACIONES

Conflicto de intereses

Los autores declaran no tener ningún conflicto de interés.

Financiamiento

Los autores declaran no tener relación comercial ni financiera con ningún patrocinador.

Uso de IA

Para este trabajo no se recurrió a la inteligencia artificial.

Contribución de los autores

FIO: concepción y diseño, búsqueda de datos e información, análisis e interpretación, planeación y revisión final. VMD: concepción, reunión de datos, análisis, interpretación, redacción del borrador. JMGG: reunión de datos, participación en la redacción. SSZ: adquisición de información, planeación para la publicación del artículo. MFLT: reunión de datos e información, y revisión final del texto.

Declaración de derechos humanos y de los animales

La investigación se hizo con base en los expedientes de pacientes, no se recurrió a intervenciones con animales.

Consentimiento informado

Se obtuvo el consentimiento informado de las pacientes para publicar este artículo.

Referencias clave

• Sousa B, Oliveira M J, Castro R, et al. Diagnosis and management of fetal cervical masses. Acta Med Port 2024; 37(2): 147-8. https://doi.org/10.20344/amp.20588

• Kingsley GMJ, Tenev AG, Kitova TT, et al. A rare massive congenital cervical lymphangioma: case report with systematic review of the literature. Int J Infert Fetal Med 2023; 14 (1): 51-4. https://doi.org/10.5005/jp-journals-10016-1303

• Zheng W, Gai S, Qin J, et al. Role of prenatal imaging in the diagnosis and management of fetal facio-cervical masses. Sci Rep 2021; 11 (1): 1385. https://doi.org/10.1038/s41598-021-80976-4

Permisos

Todas las figuras y cuadros son originales.

REFERENCIAS

  1. Sousa B, Oliveira MJ, Castro R, et al. Diagnosis and management of fetal cervical masses. Acta Med Port 2024; 37 (2): 147-8. https://doi.org/10.20344/amp.20588
  2. Abiad M, Zargarzadeh N, Javinani A, et al. Fetal teratomas: advances in diagnosis and management. J Clin Med 2024; 13 (29): 6245. https://doi.org/10.3390/jcm13206245
  3. Kingsley GMJ, Tenev AG, Kitova TT, et al. A rare massive congenital cervical lymphangioma: case report with systematic review of the literature. Int J Infert Fetal Med 2023; 14 (1): 51-4. https://doi.org/10.5005/jp-journals-10016-1303
  4. Zheng W, Gai S, Qin J, et al. Role of prenatal imaging in the diagnosis and management of fetal facio-cervical masses. Sci Rep 2021; 11 (1): 1385. https://doi.org/10.1038/s41598-021-80976-4
  5. Szymanowski AR, Bax DP, Behar P. Cervical teratoma causing airway obstruction in a premature infant. Ear Nose Throat J 2021; 100 (5); 335-6. https://doi.10.1177/0145561319870479
  6. García DL, Chimenea A, De Agustín JC, et al. Exutero intrapartum treatment (EXIT): indications and outcome in fetal cervical and oropharyngeal masses. BMC Pregnancy Chilhood 2020; 20 (1): 598. https://doi.org/10.1186/s12884-020-03304-0
  7. Jiang S, Yang C, Bent J, et al. Ex utero intrapartum treatment (EXIT) for fetal neck masses: a tertiary center experience and literature review. Int J Ped Otorhin 2019; 127: 109642. https://doi.org/10.1016/j.ijporl.2019.109642
  8. Patel S, Kunnath AJ, Gallant JN, et al. Surgical management and outcomes of pediatric congenital head and neck teratomas: a scoping review. OTO Open 2023; 7 (3): e66. https://doi.10.1002/oto2.66
  9. Shamshirsaz AA, Aalipour S, Stewart KA, et al. Perinatal characteristics and early childhood follow up after ex utero intrapartum treatment for head and neck teratomas. Prenat Diagn 2021; 41 (4): 497-504. https://doi.10.1002/pd.5894
  10. Davidson JR, Uus A, Mathew J, et al. Fetal body MRI and its application to fetal and neonatal treatment: an illustrative review. Lancet Child Adolesc Health 2021; 5 (6): 447-58. https://doi.10.1016/S2352-4642(20)30313-8
  11. Tonni G, Graneses R, Martins SEF, et al. Prenatally diagnosed fetal tumors of the head and neck: a systematic review and antenatal and postnatal outcomes over the past 20 years. JJ Perinat Med 2017; 45 (2): 149-65. https://doi.10.1515/jpm-2016-0074
  12. Hochwald O, Gil Z, Gordin A, et al. Three-step management of a newborn with a giant. highly vascularized cervical teratoma: a case report. J Med Case Rep 2019; 13 (1): 73. https://doi.org/10.1186/s13256-019-1976-0
  13. Sellami M, Mnejja M, Ayadi L, et al. Congenital teratoma of the neck: a case report and literature review. Egypt J Ear Nose Throat Allied Sci 2015; 16 (1): 101-4. https://doi.org/10.1016/j.ejenta.2014.10.004
  14. Gezer HO, Oguzkurt P, Temiz A, et al. Huge neck masses causing respiratory distress in neonatos: two cases of congenital cervical teratoma. Pediat Neonat 2016; 57 (6): 526-30. https://org/10.1016/j.pedneo.2014.02.009
  15. Acar H, Turan BI, Baksu B, et al. A rare cause of fetal neck mass: cervical lymphangioma. Int Women`s Health Reprod Sci 2016; 4 (1): 42-4. https://doi.10.15296/ijwhr.2016.10
  16. Ali IM, Yasar M, Abdi AA, et al. Successful surgical management of a giant neck teratoma in a newborn baby: a case report. Ann Med Surg 2022; 82: 104694. https://doi.org/10.1016/j.amsu.2022.104694
  17. Nogueira GC, Da Silva LC, Hatanaka DM ,et al. Management of congenital cervical teratoma with application of EXIT protocol. A case report. Clin J Obstet Gynecol 2023; 6: 172-8. https://doi.10.29328/Journal.cjog.1001147
  18. Ziyaee F, Forooghi M, Geramizadeh B, et al. Large congenital cervical mass in a neonate: prenatal diagnosis and postnatal management of teratoma: a case report. Med Case Rep 2024; 18 (1): 254. https://doi.org/10.1186/s13256-024-04535-x
  19. Jaiswal AA, Garg AK, Ravindranath M, et al. A huge congenital cervical lymphangioma. Case report with review of literature. Egypt J Ear Throat All Sci 2015; 16 (3): 283-90. https://doi.org/10.1016./j.ejenta.2015.07.005
Enviar un comentario

Te puede interesar